Responsives Bild

Zahnärzte
Dr. Kurt Fleck &
Dr. S.H. Höhn-Fleck


Wilhelm-Leuschner-Str. 16 | 64347 Griesheim
Telefon: 06155 - 5716 | Fax: 06155 - 79018
E-Mail: praxis@griesheim-zahnarzt.de

Endodontologie

Die Endodontie befasst sich mit dem Zahninneren sowie der Umgebung der Zahnwurzel. Im Zahninneren befindet sich der Zahnnerv – die Pulpa – in einem Hohlraum. Im Bereich der Zahnkrone wird dies Pulpenkavum, im Bereich der Zahnwurzel Wurzelkanal genannt. Erkrankungen der Pulpa können aufgrund ihrer besonderen anatomischen Lage oft nicht ausgeheilt werden. Dann wird eine Wurzelkanalbehandlung erforderlich. Dies bedeutet, der Zahnnerv, die dazugehörenden Blut- und Lymphgefäße, sowie infiziertes Zahnmaterial muss entfernt werden und der so entstandene Hohlraum mit einem Wurzelfüllmaterial verschlossen werden. Die Behandlungsschritte sind in der Regel folgendermaßen:

  • Die Notwendigkeit einer Wurzelkanalbehandlung wurde festgestellt
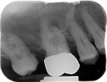
  • Ein Röntgenbild wird erstellt, um die Anatomie der Wurzel und das eventuelle Vorliegen einer Entzündung im apikalen Bereich, d.h. um die Wurzelspitze herum, darzustellen. Siehe Röntgenbild:
Wurzelfuellung
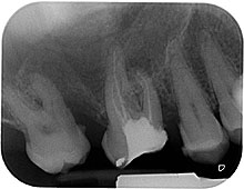
  • Das Pulpenkavum wird eröffnet und die Kanaleingänge dargestellt. Je nach Zahn können mehrere Wurzelkanäle vorhanden sein. Eine grobe Faustregel ist pro Wurzel ein Kanal, in der Praxis zeigt sich aber oft, daß eine Wurzel auch mehrere Kanäle haben kann. Siehe Röntgenbild:
Wurzelfuellung
  • Das infizierte Pulpamaterial wird entfernt und die Kanäle dargestellt.
  • Dies erfolgt röntgenologisch mit einer sogenannten Nadelaufnahme
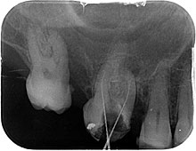
  • Nun erfolgt in mehreren Arbeitsschritten, oft auch mehreren Sitzungen, die Aufbereitung, Reinigung, Erweiterung, Spülung, Desinfektion, das Versorgen mit Medikamenten sowie die Füllung des Wurzelkanals. Diese Behandlung wird von mehreren röntgenologischen Kontrollaufnahmen begleitet Siehe Röntgenbild:
Veneer
Im Idealfall ist der Zahn nun beschwerdefrei, eventuelle Veränderungen an der Wurzelspitze bilden sich zurück und es erfolgt die Versorgung des Zahnes mit einer Füllung oder Krone. Bleibt der Zahn nicht beschwerdefrei oder bildet sich die apikale Veränderung nicht zurück, kann mit Hilfe einer Wurzelspitzenresektion der Zahnerhalt versucht werden.

Sprechzeiten:

Montag: 08:00 – 12:00 Uhr 14:00 – 18:00 Uhr
Dienstag: 08:00 – 18:00 Uhr
Mittwoch 14:00 – 18:00 Uhr
Donnerstag: 08:00 – 12:00 Uhr 14:00 – 18:00 Uhr
Freitag: 08:00 – 12:00 Uhr --

QR-Code

Speichern Sie die 
Praxisadresse auf Ihrem SmartphoneSpeichern Sie die Praxisadresse auf Ihrem Smartphone