Wilhelm-Leuschner-Str. 16 | 64347 Griesheim
Telefon: 06155 - 5716 | Fax: 06155 - 79018
E-Mail: praxis@griesheim-zahnarzt.de
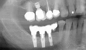
Implantate werden zum Ersatz verloren gegangener Zähne gesetzt.
Sie ermöglichen so das Wiederherstellen der Kaufunktion ohne Nachbarzähne zu beschleifen, einen herausnehmbaren Zahnersatz zu vermeiden oder einer Prothese zu einem festeren Halt zu verhelfen.
Voraussetzung ist ein vollständig eingeheiltes, freigelegtes Implantat, das mit einer Suprakonstruktion in Form von Kronen, Brücken oder Prothesen versorgt wird. Zahnlücken können so geschlossen werden und ein Wiederherstellen der Kaufunktion wird ermöglicht.
Auch hier unterscheidet man, wie beim zahnbefestigten Zahnersatz festsitzenden und kombiniert festsitzenden- herausnehmbaren Zahnersatz.
Ganz besonders Totalprothesenträgern kann auf diese Weise zu besserem Halt verholfen werden und die zum Teil unangenehme Gaumenabdeckung kann oftmals vermieden werden.
| Montag: | 08:00 – 12:00 Uhr | 14:00 – 18:00 Uhr | Dienstag: | 08:00 – 18:00 Uhr | Mittwoch | 14:00 – 18:00 Uhr |
| Donnerstag: | 08:00 – 12:00 Uhr | 14:00 – 18:00 Uhr |
| Freitag: | 08:00 – 12:00 Uhr | -- |
Anamnesebogen für Kinder
English Health History
Francais Antécédents médicaux
Storia clinica
Anamnesebogen Ukrainisch
Wir sprechen:
Englisch, Italienisch und Französisch
Speichern Sie die Praxisadresse auf Ihrem Smartphone